
Str. Tighina 65, etajul 2 ICAM, Chișinău
060 746 274
Implanturi dentare de calitate, cu prețuri clare: de la 300€ / implant, 1.900€ pentru All-on-4, 2.500€ pentru All-on-6.
Consulația inițială este GRATUITĂ
Proteza care nu stă fix: alunecă atunci când vorbești, se mișcă la fiecare mușcătură și te face să te simți nesigur.
Rușinea de a zâmbi: îți acoperi gura în poze sau când vorbești, ca să nu vadă ceilalți lipsurile din zâmbet.
Frica de durere și complicații: amintirile neplăcute de la dentist te fac să amâni, deși știi că problema nu dispare de la sine.
Costuri greu de înțeles: te temi de taxe ascunse și surprize neplăcute, chiar și atunci când vrei să faci pasul.
Viața cu restricții: eviți alimentele preferate - mere, carne, nuci - pentru că dinții nu mai fac față.
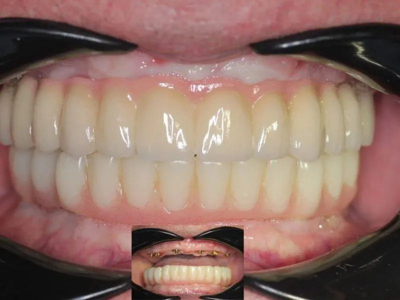
Atunci dantura fixă pe implanturi dentare este soluția ideală pentru a-ți recăpăta zâmbetul!
Există o alternativă modernă la proteze instabile și soluții temporare: tratamentele cu implanturi dentare de tip All-on-4 și All-on-6.
Cu doar 4 sau 6 implanturi plasate strategic, obții o dantură fixă, stabilă și funcțională, într-un timp mult mai scurt decât metodele tradiționale.
Rezultatul?
Dinți ficși din prima zi, stabili și permanenți.
Poți mușca dintr-un măr și te bucuri din nou de alimentele preferate.
Un zâmbet natural, creat să se potrivească perfect chipului tău.
Scapi de rușinea și frustrarea provocate de proteză.
All-on-4 și All-on-6 sunt concepute pentru persoanele care și-au pierdut mai mulți dinți sau întreaga dantură și își doresc o soluție definitivă, stabilă și estetică
În loc să trăiești cu nesiguranța și disconfortul protezei, ai dinți ficși care îți redau libertatea de a zâmbi și de a trăi fără griji.

O scoți și o cureți zilnic, iar asta îți reamintește constant că nu ai dinți naturali.
Se mișcă atunci când mănânci sau vorbești și te face să te simți jenat și nesigur.
Îți limitează viața: eviți alimentele tari, nu râzi cu poftă și te simți mai bătrân decât ești în realitate.
În timp, accelerează resorbția osului maxilar și schimbă forma feței.

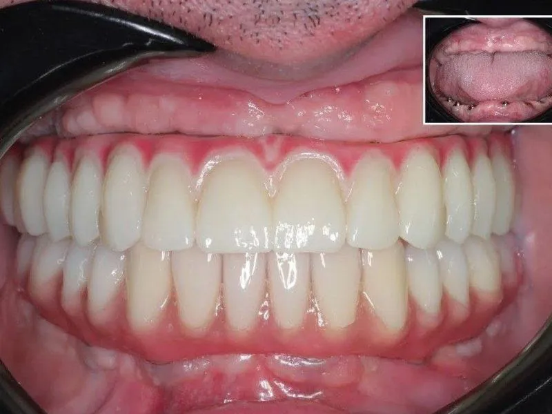
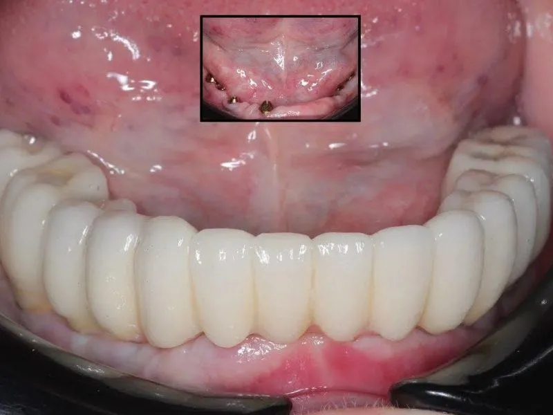
Ai dinți ficși și stabili, zi și noapte.
Muști și mesteci orice aliment, de la un măr crocant la friptura preferată.
Zâmbești cu încredere, fără ca cineva să își dea seama că ai trecut printr-un tratament.
Menții sănătatea osului și conturul feței, păstrând un aspect tânăr și natural.
Cu proteză faci compromisuri zilnic. Cu implanturi, recapeți libertatea de a zâmbi și de a trăi fără griji!
Încrederea se câștigă prin rezultate reale. Pacienții care au trecut pragul clinicii Dr. Ciobanu povestesc despre experiențe pozitive, tratamente reușite și echipa medicală atentă.




Cifre care confirmă rezultatele:
Mii de implanturi dentare realizate cu succes.
Peste 90% dintre pacienți aleg reabilitări complete All-on-4 sau All-on-6.
Rate de integrare a implanturilor de peste 98%.
Echipă de medici specialiști cu formare internațională în implantologie și chirurgie orală.
Dovada nu e doar în diplome și cifre, ci în transformările vizibile ale pacienților noștri - din rușine și frustrare, la zâmbete largi și viață fără restricții!
Știm că unul dintre cele mai mari obstacole atunci când alegi un tratament cu implanturi este teama de costuri ascunse.
De aceea, la clinica Dr. Ciobanu, fiecare plan de tratament este prezentat transparent, în scris, înainte de a începe procedura.



Pacienții care optează pentru plata integrală primesc 10% discount!
Primești un deviz detaliat, explicat pas cu pas.
Nu există taxe ascunse sau costuri neprevăzute.
Ai la dispoziție planuri flexibile de plată, care îți permit să îți împarți investiția în rate accesibile.
La final, știi exact cât investești și ce primești în schimb: o soluție definitivă, stabilă și estetică pentru zâmbetul tău.

Nu. Intervențiile se fac cu anestezie modernă. Pacienții spun că au simțit doar o ușoară presiune, fără durere.
Da. Folosim doar materiale și tehnologie certificate internațional, cu o rată de succes de peste 98%. Fiecare etapă este atent monitorizată, ca să ai un tratament sigur și fără surprize.
O proteză trebuie schimbată, ajustată și aduce mereu disconfort. Implanturile sunt o soluție definitivă, care îți redă libertatea de a trăi normal. Este o investiție pe termen lung, în sănătatea și calitatea vieții tale.
Nu. Primești un plan scris și un deviz detaliat, astfel încât știi dinainte cât plătești și pentru ce. Fără taxe ascunse, fără costuri neașteptate.
Echipa noastră îți oferă monitorizare și suport post-tratament. Nu ești lăsat singur după intervenție – te sprijinim până când zâmbetul tău este complet restaurat.
Nu amâna încă o zi schimbarea care îți poate reda încrederea și libertatea de a trăi fără compromisuri.
Evaluarea completă a situației dentare,
Planul personalizat de tratament,
Explicații clare despre pași, costuri și opțiuni de plată.
Capacitatea echipei noastre este restricționată la un număr fix de intervenții pe lună, pentru a putea oferi atenția și timpul necesar fiecărui pacient.
Programările pentru luna aceasta sunt aproape epuizate!
Dacă îți dorești să prinzi un loc, rezervă acum consultația ta și asigură-ți accesul la planul personalizat de tratament.
Această decizie nu mai poate fi amânată.
Fiecare lună pierdută înseamnă mai mult disconfort, restricții alimentare și probleme dentare care se agravează.

Un spațiu modern și sigur contează atunci când alegi un cabinet stomatologic. Clinica Dr. Ciobanu este dotată cu echipamente de ultimă generație și oferă un mediu confortabil, atât pentru adulți, cât și pentru copii.






Tot ce vezi aici este real - locația, echipa și aparatura te așteaptă la fiecare vizită!
Ai văzut deja diferența: proteza înseamnă limitări și nesiguranță, implanturile înseamnă stabilitate, încredere și viață normală.
La clinica Dr. Ciobanu primești:
Termeni si condiții